Skip Menu
Continue
  • 4 Halton Green Way
  • Greenville, SC 29607
  • Call Us Today! (864) 283-2838
  • Home
  • Our Office
  • Meet Dr. Bridges
    • Linda W. Bridges, DDS
  • Our Team
  • Services
      • Preventative
      • General
      • Cosmetic
    • View All
  • New Patients
    • Patient Login
    • New Patient Forms
    • New Patient Specials
  • Contact
    • Contact Us
    • Request Appointment
  • Blog

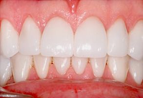
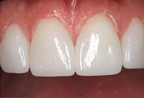
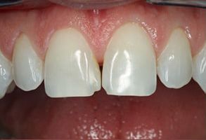
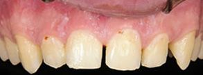
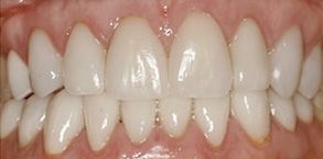
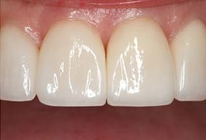
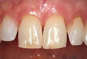
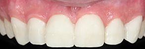
Smile Gallery

Our Location

4 Halton Green Way
Greenville, SC 29607
(864) 283-2838

Follow Us


Winner

A Greenville, SC Dentist winner of the Patients’ Choice Awards. Verified by Opencare.com